誰でも、生えるべきところでないところに生えた邪魔な毛を抜かなくてはならないことがあります。では、むしる必要が一度もなかった場所があるかと尋ねられたら、多くの人は歯茎を挙げることでしょう。

10年余り前にイタリアのルイジ・ヴァンヴィテッリ大学の附属病院に19歳の女性が受診に訪れたところ、医学界では歯肉多毛症として知られている珍しい症状を患っていることがわかりました。
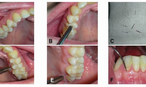
このほど発表された症例研究の論文には「前歯裏側の切歯乳頭部の歯肉溝上皮から発毛した若年女性の症例を2009年に報告しました」とあります。
言い換えると、女性患者の上の前歯の裏側に接している軟組織のあちらこちらからまつ毛のような毛が突き出ていたのが確認されたということです。
診察した医師らが文献を調べると、類似の症例は1960年代以降に記録された5例しかなく、患者は全員が男性でした。
歴史を通して、何人ぐらいがこの症状に悩まされてきたのかを知ることは不可能です。文献に記録された症例がこのように少なくては、なぜ発生するのかを解明することさえ、容易ではありません。
この症例では、病理学的に手掛かりとなりそうなことがすぐに見つかりました。この女性はホルモン測定と超音波検査から、多嚢胞性卵巣症候群(PCOS)と診断されたのです。PCOSはホルモンバランスの乱れに関連する生殖器系疾患です。
「多毛症」(体毛が過剰に太く硬くなる症状)はホルモンバランスが乱れていると発生することの多い疾患ですが、通常は発症するのが顔や胴体、手足などの、元々、毛包のある部位に限られています。
この女性の場合は、発毛が異所性でした。つまり、通常は毛包のないところに毛が生えていたということです。ですから、原因はPCOSではなかったのかもしれませんが、PCOSがあったことでほぼ確実に病状が悪化したとみられます。
歯茎に生えた毛は外科的に引き抜かれ、ホルモンバランスの乱れへの対処の一環として経口避妊薬を服用して経過を見たところ、女性は口の中の毛に悩まされることのない生活に戻ることができました。しかし、それもしばらくの間だけのことでした。
6年後にこの匿名の女性が大学病院に再び現れました。ホルモン剤の服用を止めてから、歯肉多毛症が再発していたのです。
この時、医療チームは毛を抜くのみで済ませず、外科処置の機会を利用して歯茎の組織の一部を少し取り、顕微鏡を使ってより詳しい調査をしました。その結果、異常に厚くなった歯茎の組織から毛幹(毛根以外の皮膚から出ている部分)が突き出ていることが確認されました。
その1年後までに女性の症状はさらに悪化し、口内の別の数箇所からも毛が生えるようになっていました。
断言はできないとしながらも、研究者チームが推測した要因は、ヒトの発生における胚の段階で口腔の粘膜組織は皮膚を形成する組織と密接に関わっているため、理論上は有毛細胞が活性化することもあり得るというものです。
さらに、本来は皮膚の表面にある皮脂腺が口の中に形成されてフォーダイス顆粒と呼ばれる症状に発展することが一般的によくあると研究者チームは指摘しています。
特定のタイプの組織が本来は発生しない場所で成長する一方で、それ以外のタイプの組織がそうならないのはなぜかということは現在の医学ではわかっていません。
「口腔粘膜に発生する異所性の症状は比較的一般的に見られるものもあれば、非常に稀にしか見られないものもある理由は明らかではありません」と論文には書かれてあります。
この女性が処方薬を再び服用するようになったかどうかは言及されておらず、歯間から発毛する症状の治療自体を続けているのかも不明です。また、歯茎の異常が別の健康問題を引き起こしていないか、口内に不快感があるのかどうかも明らかではありません。
それでも、1例とは言え、症例記録が増えたことで、病理学者にとっては、生えるべきところではない場所に毛の生えた患者が次回現れたときのための準備が以前よりはできたものと思われます。
reference:scincealert















